内科の事前問診はこちら
風邪症状のある方
発熱、咳、喉の痛み、頭痛、鼻水、痰、体のだるさ、関節痛、息苦しさ、胸の痛み、味覚嗅覚の異常がある方は、問診の回答前に直接当院までお電話くださいますよう、よろしくお願いします。
TEL 0565-88-3311
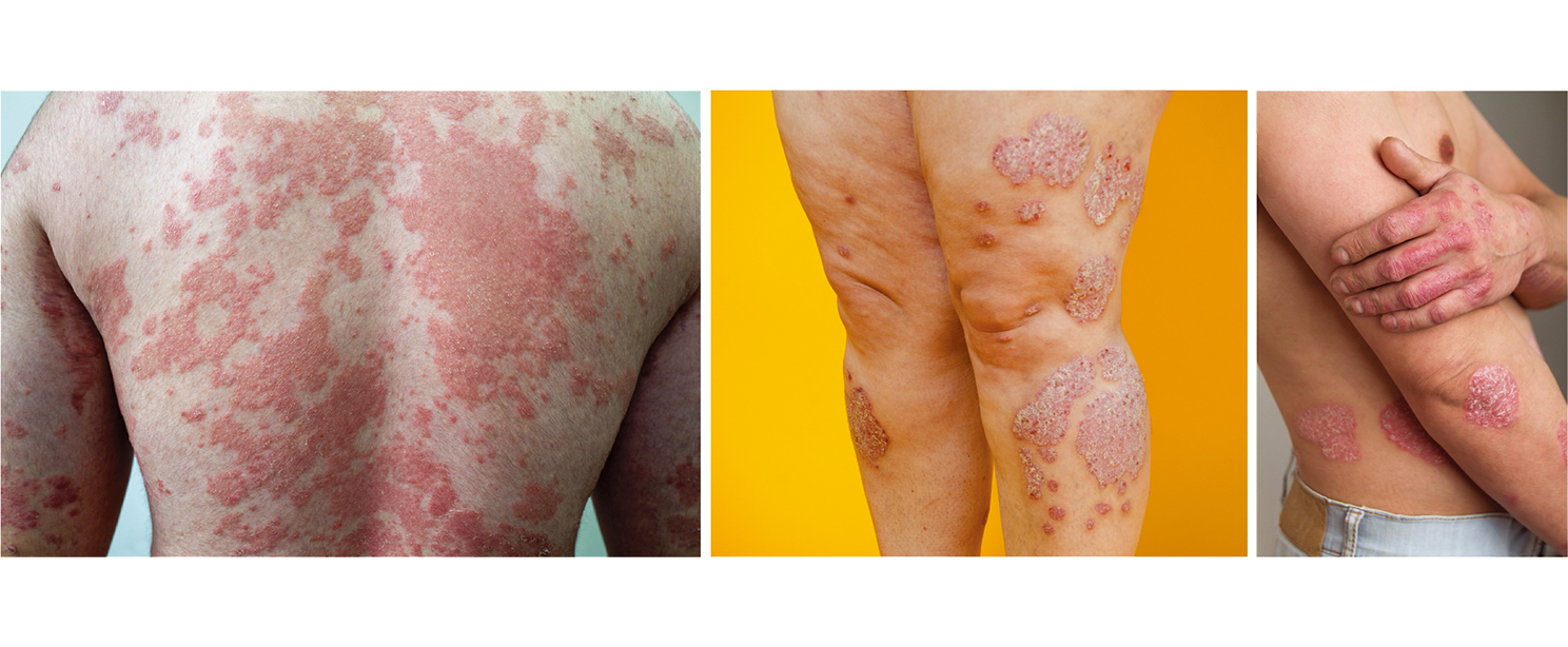
皮膚に赤く盛り上がった発疹ができ、その上に銀白色のフケのような鱗屑(りんせつ)が付着し、ポロポロとはがれ落ちるのが特徴です。症状は良くなったり悪くなったりを繰り返します。
主に頭、背中、おしり、ひじなど、衣類との摩擦や外からの刺激を受けやすい部位に現れますが、全身に広がることもあります。また、爪に異常が出たり、かゆみを伴う場合もあります。さらに、皮膚だけでなく関節に痛みや腫れ、変形を伴うこともあります。
はっきりとした原因はまだ解明されていませんが、乾癬になりやすい体質(遺伝的要因に、感染症・ストレス・薬剤などの環境要因が加わることで免疫に異常が生じ、慢性的な炎症を引き起こすと考えられています。
免疫の異常により「サイトカイン」と呼ばれる物質が過剰に分泌され、体を攻撃して「炎症」を起こし、皮膚が赤くなります。さらに、皮膚の一番外側にある「表皮細胞」が異常に増えてしまいます。
通常、表皮細胞は約28〜40日かけて新しく入れ替わりますが、乾癬の患者さんではわずか4〜5日で入れ替わってしまいます。そのため、未成熟な表皮細胞が厚く積み重なり、鱗屑(りんせつ)となって剥がれ落ちていきます。
特徴的な症状が見られる場合は皮膚科専門医の診察だけで診断できることもあります。
症状が典型的でない場合や、他の皮膚疾患との区別が必要な場合には、皮疹の一部を採取して顕微鏡で詳しく調べる「皮膚生検」が行われます。
また、関節炎が疑われる際には、レントゲンやMRIなどの画像検査、超音波検査、血液検査が行われます。
乾癬の治療は、大きく外用療法、光線療法、内服療法、生物学的製剤の4つに分けられます。
乾癬治療の基本となる方法です。主にステロイド外用薬と活性型ビタミンD₃外用薬が使われます。
・ステロイド外用薬:炎症を抑える作用があります。
・活性型ビタミンD₃外用薬:表皮細胞の過剰な増殖を抑える作用があります。
単独で使うこともありますが、組み合わせて使用する場合も多く、2つの成分を配合した塗り薬も用いられています。
紫外線を利用して、過剰な免疫反応を抑える治療法です。週1〜3回程度、通院または入院が必要になります。
・PUVA療法:光に対する感受性を高める薬を内服または外用し、UVA(長波長紫外線)を照射する方法です。
・UVB療法:UVB(中波長紫外線)を照射する方法です。特に効果が高いのは、波長を狭めて照射する「ナローバンドUVB療法」です。また、治りにくい部分には「ターゲット型エキシマランプ」を使い、部分的に照射することもあります。
皮疹の範囲が広い場合や症状が重い場合に行われます。
・シクロスポリン
免疫細胞(リンパ球)の働きを抑えて、過剰な免疫反応を防ぎます。
副作用として高血圧、腎機能障害、多毛などがあり、定期的な血圧測定や血液検査が必要です。
・レチノイド(エトレチナート)
表皮の角化異常を抑え、皮膚を正常な状態に近づけます。
副作用として手足の皮むけや口唇炎があります。
また、胎児に影響を及ぼす可能性があるため、服用中止後も男性は6か月、女性は2年間の避妊が必要です。
・アプレミラスト
免疫に関わる細胞内の酵素の働きを抑え、炎症物質の産生を抑制します。
副作用として頭痛、吐き気、下痢などがあります。
生物学的製剤は、サイトカインと呼ばれる炎症を引き起こす物質の働きを、ピンポイントで抑える治療薬です。
これまでの治療で効果が不十分な患者さんに用いられ、TNF-α、IL-12/23、IL-17、IL-23 などを標的とする複数の薬剤があり、重度の皮膚症状や関節症状の改善が期待できます。
治療は日本皮膚科学会が定めた承認施設でのみ開始することができ、使用中は定期的な検査や副作用への注意が必要です。

| 診療時間 | 月 | 火 | 水 | 木 | 金 | 土 |
|---|---|---|---|---|---|---|
| 整形外科 | ||||||
| 9:00~12:00 | 〇 | 〇 | 〇 | 〇 | 〇 | 〇 |
| 15:30~18:30 | 〇 | 〇 | 〇 | 〇 | 〇 | / |
| 内科 | ||||||
| 9:00~12:00 | 〇 | 〇 | 〇 | 〇 | 〇 | 〇 |
| 15:30~18:30 | 〇 | 〇 | 〇 | / | 〇 | / |
| ※水曜日午後の診察を開始することとなりました。 | ||||||
| 皮膚科 | ||||||
| 9:00~12:00 | 〇 | 〇 | / | 〇 | 〇 | △ |
| 15:00~17:00 | 〇 | 〇 | / | 〇 | 〇 | / |
| ※土曜日の診療日は、第2・第4・第5週目になります。 | ||||||
休診日:土曜日午後、日曜日、祝日
〒471-0006 愛知県豊田市市木町5-1-2
24時間受付 0565-88-3311
公共交通機関をご利用の方
名鉄 豊田市駅から、名鉄バス「鞍ヶ池東」または「足助」行き、「双美団地口」下車、徒歩4分
お車でお越しの方
東海環状自動車道、豊田勘八ICより約3分
鞍ヶ池PA(ETC搭載車のみ)より約 4分
伊勢湾岸自動車道、豊田東ICより約18分
東名高速道路、豊田ICより約30分